
前言
近年来,随着免疫治疗药物的快速发展,单克隆抗体类药物的开发节奏加快,使得对该类药物安全性评价工作的要求也在不断增多,除了传统毒理学的评价方法外,组织交叉反应试验(Tissue Cross-Reactivity,TCR)成为抗体类药物临床前安全性评价的重要组成部分,对于抗体类药物的研发至关重要,也是国内外监管机构的要求。

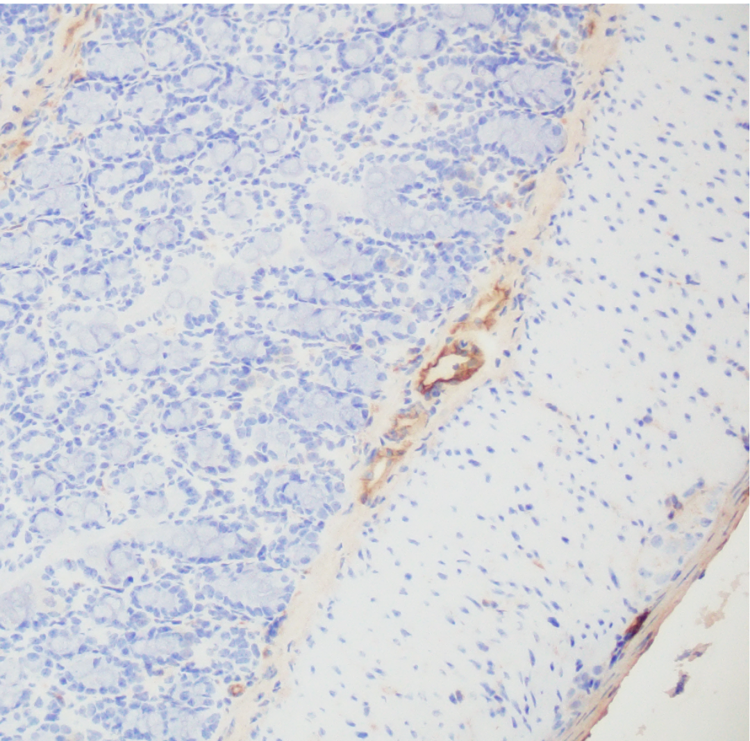
组织交叉反应(Tissue Cross-Reactivity,TCR)是在体外检测抗体药物与组织上抗原表位结合的试验。目的是确认受试抗体与药效靶组织抗原表位的结合,检测抗体是否与非靶部位组织抗原结合,为确定非临床安全性试验相关动物种属及预测毒性靶器官提供参考,同时也为临床试验毒副作用的监控提供参考。
AG尊时凯龙人生就医药新药组织交叉反应试验平台
AG尊时凯龙人生就医药新药组织交叉反应试验平台,提供组织交叉反应试验的方案支持、样本制备、样本检测、结果解读等服务,一站式完成组织交叉反应试验的全部内容,帮助单克隆抗体类药物的初期筛选以及毒性靶器官的预测,协助客户获取丰富药物信息。
平台配备科学、先进的仪器设备,拥有多种属(大鼠、小鼠、猴、人)、多个体、全套的冰冻组织,配有经验丰富的专题负责人,技术全面的病理技术人员,建立了系统、规范的组织交叉反应的体系文件,涵盖了样本的管理、技术操作直至结果评价的全部内容。提供全面的组织交叉反应研究设计及分析服务,支持确定非临床安全性试验相关动物种属及毒性靶器官的预测。
研究对象
含有互补决定区的抗体和抗体生物制品:单克隆抗体、双特异性抗体、抗体偶练药物或融合蛋白等。
试验方法
TCR试验的核心技术是免疫组织化学技术(IHC)。采用冰冻或固定组织标本,切片,并用带显色剂标记的特异性抗体在组织细胞原位通过抗原抗体反应和组织化学的呈色反应对组织染色,对相应抗原进行定性、定位、定量测定。
研究内容
冰冻组织切片

免疫组化染色

切片复染

显色与观察

结果分析与评价

Advantage
AG尊时凯龙人生就医药组织交叉反应试验平台优势
可以为客户提供一站式平台服务,从方案的设计到全部试验结果的解读,加速项目进程;
团队拥有经验丰富的专题负责人和病理技术人员,曾完成多项申报类组织交叉反应试验;
全流程质量管理体系,软、硬件配套设施完善;
快速的检测能力、强大的数据分析与解读能力;
高效的项目管理体系,实时、透明、单点沟通,通过沟通汇报机制和风险管理机制,为实验执行周期和成果交付提供保障。

